Le président Emmanuel Macron salue un progrès majeur dans l’imagerie du cerveau
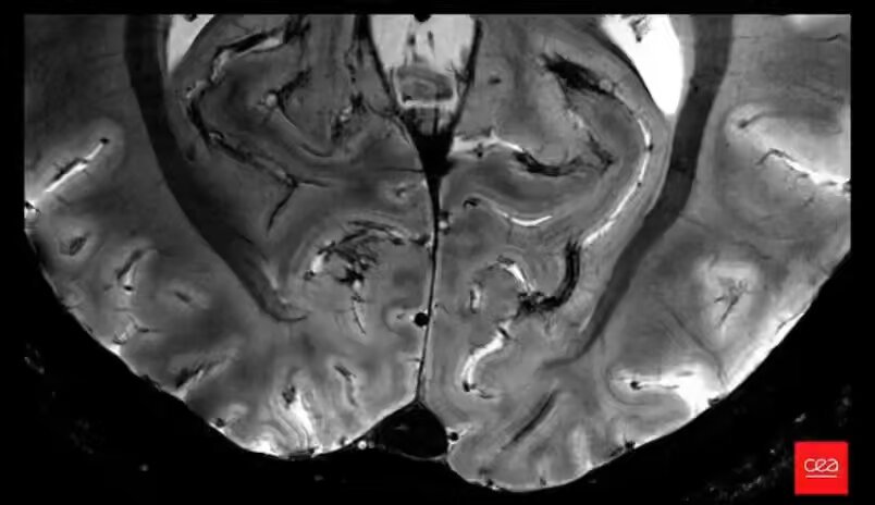
Emmanuel Macron, président de la République, a tweeté son émerveillement face à une innovation impressionnante en matière de science médicale. Selon le tweet qu’il a partagé, le CEA (Commissariat à l’énergie atomique et aux énergies alternatives) a réussi à produire l’image la plus précise du cerveau jamais obtenue, grâce à son scanner par résonance magnétique, le plus puissant au monde.
Dans son message, M. Macron a salué ce développement majeur comme une « énorme espérance » pour l’étude de notre santé. Il a félicité l’équipe du projet Iseult pour cette réalisation, qu’il a qualifiée d' »emblématique ». Emmanuel Macron est connu pour son soutien à la recherche et à l’innovation. Son tweet souligne sa conviction que les progrès scientifiques peuvent conduire à des avancées significatives pour la santé humaine.
Mobilisation de la technologie de pointe pour des avancées médicales
Selon les informations provenant du tweet présidentiel, cette image du cerveau a été réalisée grâce à l’utilisation d’une technologie de pointe, à savoir le scanner par résonance magnétique (IRM) du CEA, qui est le plus performant du monde. C’est signe que l’investissement dans l’innovation technologique se révèle bénéfique pour la santé publique.
Le fait que cette percée importante ait été réalisée par le projet Iseult – une initiative basée en France – démontre la position de premier plan que le pays occupe dans le domaine de la recherche médicale. C’est un rappel des talents et compétences scientifiques que la France peut mobiliser.
Des espoirs renouvelés pour l’étude de la santé humaine
Le tweet du président Macron accorde une grande importance à l’impact que cette innovation pourrait avoir sur la santé humaine. L’image précise du cerveau obtenue par le scanner MRI du CEA pourrait, en effet, ouvrir la voie à de nouveaux traitements et à une meilleure compréhension des maladies du cerveau.
Cette avancée majeure a été saluée comme un signe d’espoir pour une amélioration significative de l’étude de la santé humaine. Les implications de cette réalisation sont potentiellement vastes, allant de l’avancement de nos connaissances sur le fonctionnement du cerveau à la possibilité de développer de nouvelles thérapies pour des conditions neurologiques complexes.
En règle générale, ce succès scientifique, salué par le président Emmanuel Macron, montre l’importance de l’investissement dans la recherche et l’innovation pour accélérer les progrès dans le domaine de la santé, et tout particulièrement pour les affections touchant le cerveau, un organe encore mystérieux dans bien des aspects.
This is the most precise image of the brain ever obtained, thanks to the CEA's MRI scanner, the most powerful in the world.
It's a major breakthrough and a huge hope for the study of our health. Congratulations to the Iseult project team.
Iconic! pic.twitter.com/KLPcloAORD
— Emmanuel Macron (@EmmanuelMacron) April 2, 2024



